Surgical correction of failed hip replacement or Revision hip replacement, also known as hip revision surgery, is a surgical procedure performed to replace a previously implanted hip prosthesis that has failed or has developed complications. It is necessary when a primary hip replacement has not provided the desired outcome or has experienced problems that affect its function, stability, or longevity.
1. Implant Loosening: The artificial components of the hip replacement may become loose over time, resulting in pain, instability, or difficulty in walking. This can occur due to wear and tear, bone loss, or other factors.
2. Infection: In some cases, infections can develop around the hip replacement, causing pain, swelling, and potentially leading to joint instability. Revision surgery may be required to remove the infected components and treat the infection.
3. Dislocation: Hip replacement dislocation can occur when the artificial joint becomes dislodged from its normal position. Revision surgery may be necessary to address the instability and improve the joint's stability.
4. Implant Wear or Failure: The artificial joint components may wear out, break, or fail to function properly, resulting in pain, limited mobility, or implant failure. Revision surgery involves replacing the worn or failed components to restore proper joint function.
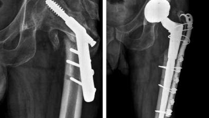
5. Fracture: Fractures around the hip replacement can occur due to trauma or stress on the bone. Revision surgery may be required to stabilize the bone and address any associated complications.
During revision hip replacement, the surgeon removes the failed or problematic components of the previous hip replacement and replaces them with new implants. This may involve using specialized revision implants, bone grafts, or other techniques to address any bone loss or structural issues. The goal is to restore stability, function, and alleviate pain.
Revision hip replacement is a complex procedure that requires the expertise of an experienced orthopaedic surgeon who specializes in revision surgeries. They will assess the specific situation, determine the causes of the failure, and develop a tailored surgical plan to address the issues and improve the patient's hip function and quality of life.